脳神経外科外来
1.脳神経外科外来の診療内容
- ・脳卒中の予防
- ・脳卒中の内科的治療
- ・頭痛、めまい、しびれなどの症状
- ・脳腫瘍
- ・水頭症
- ・認知症
- ・頭部外傷
- ・頚椎ヘルニア、頚椎症
などの診断や治療を脳神経外科専門医が行います。
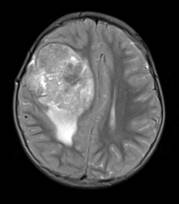
2.頭痛で来院された患者様の頭部MR画像
![]() |
![]() |
症状は軽度でも、巨大な脳腫瘍が指摘されました。軽い症状でもまずは医師にご相談ください。
3.脳神経外科受診の際のご注意
- ・初診の方、MRI検査をご希望の方は、午後の診療終了時間の30分前までにご来院ください。
- ・脳神経外科外来を行っていない時間帯でも検査は行えますが、結果説明はその日の夕方、もしくは後日となりますのでご了承ください。
- ・脳神経外科外来の担当医については、診療時間のページをご参照ください。
- ・不明な点はお電話にてご相談ください。
4.脳ドックのご案内
脳も40歳を過ぎると老化のスーピードが速いといわれています。最終的には脳卒中として、言語障害や運動障害などの症状を起こすことになります。
ご承知のように脳が一度故障すると、後遺症として社会生活が不自由なものになります。脳卒中をはじめ、脳の病気は特に早期発見、早期治療が必要な病気です。
脳の断面と脳血管をMRIでチェックして、生活習慣の改善や早期治療を行い、脳の病気を未然に防ぐことが脳ドックの目的です。
5.頭部MR画像+MRA画像
![]() |
![]() |
| 脳梗塞(→) | 脳動脈瘤(→) |
6.脳ドック検査内容
頭部MRI検査(脳断面、脳血管) 所要時間約15分
検査結果はその日のうちにご説明いたします。
オプションで心電図、胸部レントゲン検査、血液検査なども承っております。
※上記オプション検査を希望する方で、以前に行った検査結果をお持ちの方はなるべくご持参ください。
関連ページ





